花粉症と同じように、金属に対して何らかのアレルギー反応が出てしまうという患者様の声が年々多く聞かれるようになってきています。 金属アレルギーの方、金属の使用に不安のある方を対象として、当院では金属を使わないメタルフリー治療に対応。常に最新の医療技術をアップデートしながら、メタルに劣らず、身体親和性に優れ、しかも審美的な材料を厳選して使用しています。
気になる方はお気軽にご相談ください。
メタルフリー治療
METAL FREE DENTISTRY

メタルフリー素材
1. オールセラミック(陶材100%)
審美的、生体親和性、共に優れた素材です。色や透明感が天然歯と区別がつかないほど美しく、金属によるアレルギーや電気発生の問題もありません。ジルコニアによる補強で、強度も金属レベルまで向上しています。当院では自社ラボにてオーダーメイドのセラミックを作製しております。
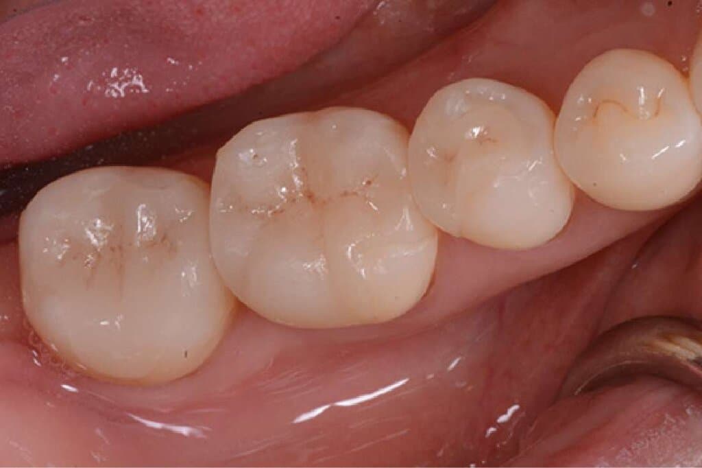
2. フルジルコニアクラウン
ジルコニア(酸化ジルコニウム)は、ジルコニウムが酸化した白い粉末状のセラミックです。耐熱性や生体親和性に優れていることから注目されています。身近なものとしては、ファインセラミックの白い包丁や、スペースシャトルの外壁に使用されたりしています。 審美的に見て陶材には劣りますが、多少治療費を抑えることができます。色が気になる前歯のような場所には向いていませんが、耐久性に優れているため、奥歯に適しています。

3. ハイブリッドセラミック(超硬質レジン)
セラミックと同様に、審美的・生体親和性が非常に高い材料です。また、陶材に比べると、多少ですが治療費を抑えることができます。長年使用していると水分を吸い込んでしまうため、経年変化による若干の変色の可能性があります。フレームにファイバーを使用することで強度はかなり向上しており、陶材と比べても見劣りしません。

4. ラミネートベニア
むし歯や先天的な理由により歯の色を直したいという方には、ラミネートベニアという方法がおすすめです。
歯の表面を薄く削り、セラミックの板を貼ることで、見た目の美しさを回復することができます。

5. アマルガム充填剤の除去
以前は日本の健康保険適応材料でしたが、現在は使用禁止になっているアマルガム。口腔内に溶解した水銀は、口腔内バクテリアと結合して有機水銀となり、がん、膠原病、アレルギー精神疾患といった全身のさまざまな疾患の原因になると言われているため、当院ではアマルガムの除去治療をおすすめしております。
小さなアマルガムなら、一回の治療できれいに除去できます。大きなアマルガムの場合、型を取って模型を作製し、窩洞(歯科医師が歯の中に形成した空洞のこと)に適した修復物を詰め直します。
6. 最新の技工設備(CAD/CAMシステム)
当院では最新のドイツ製CAD/CAMシステムを導入しております。天然歯に近い色調と性質を持ったセラミックブロックからコンピューターを使用して修復物を削り出すことのできる最新の歯科技工器材です。
すぐれた審美性や耐久性に加え、アレルギーや金属による酸化の心配がないオールセラミックで、美しい被せ物や充填物を作製することができます。