口腔外科とは、口腔(お口の中)、顎(あご)、顔面などの外科的処置を中心とする診療科です。
対応例
親知らず、過剰埋伏歯などの難易度の高い抜歯。
歯の破折や脱臼、口腔粘膜の怪我などによる外傷の救急治療。
口の中や顎骨の中にできる良性腫瘍の一種である「のう胞」。
口が開かない、口を開けるときに痛みが出る、音が鳴るなどの「顎関節症」。
親知らず
一番奥に生える永久歯であり、「智歯」や「第三大臼歯」とも呼ばれる親知らず。下顎の親知らずはスペースが少ないために斜めに傾いてしまうことが多く、手前の歯にぶつかってまっすぐに生えていないケースが多々みられます。このような場合は隣の歯と共にむし歯になりやすく、生えるときに歯の周りに炎症がおきやすくなります。むし歯や炎症など、トラブルがあれば抜歯するのが一般的な判断ですが、痛みや腫れを伴う場合は、抜歯すること自体が困難な場合もあります。
当院では、外科処置の経験豊富な医師が常駐しており、最新のCTも完備しておりますので、親知らずの抜歯も安心してお任せいただけます。
横向きの親知らずのデメリット
- 食片が詰まる。
- むし歯になりやすい。
- 歯ぐきが腫れる。
などの症状が出やすくなる。

親知らずを残しても良い症例とは
- 上下の親知らずがまっすぐに生えていて、しっかりと噛み合っている場合。
- 噛み合う歯がない場合でも、患者様が自分できちんと磨けている場合。
- 親知らず以外の歯で、将来的に抜歯治療が必要になりそうな歯がある場合。
→親知らずを移植に使う可能性があるため、保険として残す判断をすることがあります。
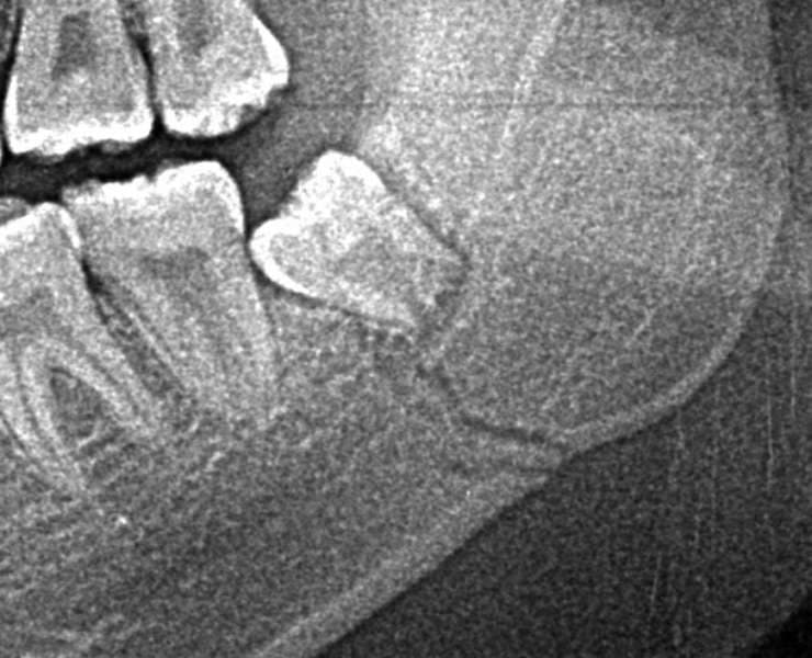
親知らずが原因で手前の歯がむし歯になった症例
親知らずと手前の歯の間に黒い影があります。
この黒い影がむし歯です。むし歯が横から進行していくと、神経の処置が必要となる可能性が高まります。

顎の骨折に親知らずが関係している症例
親知らずが原因で、顎の骨が薄くなり、骨折しています。
親知らずに沿って入っている黒い線(骨折線)が確認できます。

親知らずが原因で手前の歯も抜歯になった症例
上の写真は、親知らずによって、手前の歯の根が溶けてしまっています。
このような状態になると、手前の歯も抜かないといけなくなります。

口腔粘膜疾患
口内炎や粘膜異常の早めの診断は、舌がんや口腔がんの早期発見につながります。当院でも、舌がんの早期発見により適切な治療を受け、予後良好な患者様もおり、早期診断の重要性を改めて感じております。
腫瘍
腫瘍には良性と悪性があり、また組織学的に見ると上皮性と非上皮性があります。万一悪性の疑いがあれば、その場で連携先の総合病院の口腔外科を紹介いたします。
口腔がん検診
口腔がんは、直接肉眼で観察でき、手指で触診できるのが大きな特徴です。腫瘍のできる場所によって、舌がん、頬粘膜がん、歯肉がん、口蓋がん、口底がん、口唇がんなどに分類されます。
がんの発育様式により、出っ張っている「外向型」、埋まっている「内向型」に大別できます。触って硬い感じを受ける、見た目が汚れて見えるなどのものは悪性化している可能性があります。また、本来赤い部分が白くなっているものも要注意です。
発生頻度はがん全体の1〜3%と多くはありませんが、日本では年間約7800人が罹患しており、決して軽視はできません。早期発見、早期治療のために、定期的な口腔がん検診は効果的です。
検診は、お口の中を特殊なカメラで撮影するだけなので、数分で終わります。前がん病変(がんになる手前の状態)などの早期発見にも役立ちますので、当院では歯科検診と同時の受診をおすすめしております。
